Inlays and Onlays: Minimally Invasive Solution for Heavily Restored Teeth
- Dr. Johnson Ozgur

- Oct 4, 2021
- 6 min read
In today's digital age, you have access to several dental restoration options. If your tooth is decayed or damaged, consider inlays and onlays to restore function. These minimally invasive solutions for heavily restored teeth can prevent further damage and protect your beautiful smile.
What are inlay and onlay in dentistry?
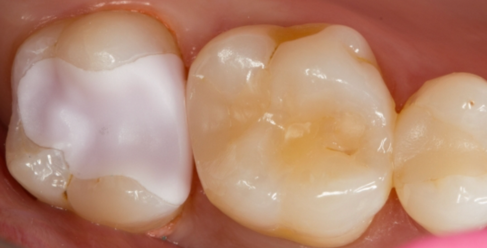
Inlays and Onlays are minimally invasive restoration solutions for decayed and damaged teeth. Most inlays and onlays are made from composite resin, porcelain, and gold. However, porcelain and composite are more popular because they mimic the properties of natural teeth better than other materials. Your Toronto dentist can use the Chairside Economical Restoration of Esthetic Ceramics (CEREC) system to deliver same-day inlay or onlay. This minimally invasive method uses all-ceramic materials to restore standard dental fillings and repair cavities. But what is the difference between inlay and Onlays? An inlay is inserted in tooth cavities to strengthen the tooth and prevent further damage, while an onlay covers the cusp to restore biting and chewing function.
Here is everything you need to know about minimally invasive inlays and Onlays:
What are inlays and onlays used for?
Inlays and Onlays are used in dental restoration to repair damaged or decayed teeth. Both offer "indirect restorations" because they are custom-made in a laboratory and bonded to affected teeth. Inlays go into the cavity like fillings, while onlays address extensive damage on the tooth's cusp or biting surface. So, onlays provide an alternative to dental crowns. Your dentist will recommend an inlay if the dental cavity is too large for filling. An onlay is the best option if the damage doesn't meet the requirement of dental crowns.
When do you need an Onlay?
You'll need an only if the damage to your tooth affects the biting surface. In this case, an onlay will cover the cusp of your tooth and restore function. Your dentist can also recommend onlays to repair cavities on teeth cusp, which standard dental fillings can't fix. Onlays offer a minimally invasive alternative to dental crowns, which requires enamel removal. They can restore biting, chewing, and grinding functions without destroying natural teeth structure.
If you want to repair cavities in one day, you'll need same-day onlays. The innovative Toronto Smile Design uses advanced CEREC milling units to develop dry and wet-milled restorations in minutes. This single-visit dentistry procedure delivers long-lasting onlays that mimic your natural teeth. But onlays cannot fix extensive teeth damage. You may need dental crowns to repair badly damaged, decayed, or cracked teeth.

What is the inlay procedure?
Inlay procedure is a dental restorative process where the dentist places a custom-made insert in a badly decayed tooth. The inlay can help restore function and prevent further decay and damage. Here are the four steps of the inlay procedure:
Examination: Your dentist must examine the damage to your tooth to repair cavities. Toronto Smile Design - Yorkville Dental uses the latest CBCT machine, Dentsply Sirona Orthophos S, to scan patients' teeth. CBCT scans visualize your tooth's underlying bone in 3D and provide additional insights to efficient dental restoration if needed.
Cleaning: Then, they'll clean the cavity to eliminate any debris. Dentists administer local anesthesia to enhance your comfort during this procedure. If you have fillings in the tooth, your dentist will remove them and clean and prepare the cavity for inlay.
Scanning, Design, and Milling: Traditional inlay procedures use molds and trays to capture cavity impressions. In today's digital age, modern dentists employ innovative solutions for single-visit dentistry. Toronto Smile Design Clinic - Yorkville Dental uses CEREC Primescan Intraoral Scanner to take cavity impressions digitally. This chairside restoration device comes with an integrated block scanner and CAD/CAM software. It allows your dentist to scan the tooth cavity and design the perfect inlay in minutes. Then, they'll upload your inlay design to CEREC Primemill, the Mercedes of all milling machines! Usually, the fabrication of inlays takes around seven days. With the CEREC system, your Toronto dentist can scan, design, and mill zirconia restorations in the office. You'll get your inlays in minutes!
Inlay Placement: In this step, your Toronto dentist places your custom-made inlay in the tooth's cavity. CEREC milling units deliver inlays with a precision of 25 μm and guarantee perfect-fit restorations. So, your dentist will only need to polish the inlay and ensure it feels comfortable when you bite. Lastly, they'll use a dental adhesive to bond the inlay to your tooth.
Toronto Smile Design's innovative single-visit dentistry approach shortens the inlay procedure from several days to a few hours.
Can I eat after an inlay?
Yes, you can! After getting an inlay, you can eat without any issues as soon as the anesthesia wears off. Toronto Smile Design's wet-milled inlays can withstand the forces of chewing, but bonding materials and onlays may need some time to harden. To be on the safe side, avoid hard nuts, seeds, and foods like peanuts and pretzels for 24 hours after getting an inlay or onlay. Follow your dentist's inlay aftercare instructions to hasten recovery.
How much is an inlay?
The cost of inlays varies depending on the material and size. On average, inlays cost between $500 and $1,500 per tooth. Onlays also fall within this price range. But the overall cost of inlay is slightly higher because the procedure is more time-consuming than onlays. So, most dental insurance plans cover a portion of inlay costs.
Here are frequently asked questions about inlays and onlays to enhance your understanding:
Q1. Are inlays better than fillings?
Inlays and fillings are used in restorative dentistry to repair and strengthen damaged teeth. They can restore function and improve oral health and the quality of life, but they cannot be used interchangeably. Dentists recommend inlays to repair badly damaged teeth and fillings for small dental cavities. Inlays are made of porcelain and composite materials. They can increase your tooth's strength up to 75%. Toronto Smile Design leverages CEREC system to develop same-day inlays that mimic natural teeth better than fillings. Heavily restored teeth are susceptible to dental decay. But the damage is more extensive for a standard dental filling than an inlay. If you have old dental fillings, your dentist can replace them with inlays.
Q2. Does getting an inlay hurt?
No, it doesn't! Your dentist will give local anesthesia before cleaning and placing an inlay. You'll only feel numb in your mouth and around the site until the anesthesia wears off. Some people can experience discomfort, gum tenderness, and tooth sensitivity after getting an inlay. Like fillings, inlays and onlays are pain-free restorative procedures.
Q3. Are inlays worth it?
Inlays are medically necessary treatments designed to restore function and improve quality of life and overall health. They strengthen and repair decayed teeth and prevent further damage. If left untreated, dental decay can lead to tooth loss. So paying $500-$1,500 for an inlay to save your tooth, chewing function, and charming smile is worth it!
Q4. Can an onlay fall off?
Yes, it can. Onlays are not immune to external forces and conditions in your mouth. Dental decay can weaken your onlay over time. But you can avoid the risk of onlay fall-off by maintaining good oral hygiene and proper aftercare.

Q5. How long do inlays and onlays last?
Inlays and Onlays may last for 10-30 years. But factors like oral health and material used can influence the lifespan of your inlay or onlay. Toronto Smile Design uses the CEREC system to mill zirconia restorations, which can withstand immense chewing. These inlays and onlays can last for decades. To increase their lifespan, brush and floss your teeth after meals to reduce plaque and tartar buildup. You can also rinse your mouth with mouthwash after brushing and flossing to eliminate residual bacteria. Combine this oral hygiene routine with regular dental checkups and teeth cleaning to improve oral health. Remember, prevention of cavities is better than the cure.
To get a long-lasting inlay or onlay, choose the right dental clinic. You can rely on Toronto Smile Design for innovative and professional same-day inlay and onlay procedures.

Why Toronto Smile Design for Inlays and Onlays?
Dr. Johnson Ozgur is a Toronto Dentist with a Master's Degree in Oral Surgery, specializing in minimally invasive solutions. He is an expert in single-visit dentistry procedures, including onlays, inlays, teeth whitening, porcelain veneers, and dental crowns. You can also rely on Dr. Johnson's expertise in dental implants, root canals, gum contouring, and more. To restore your teeth with same-day inlays or onlays, contact Toronto Smile Design - Yorkville Dental today!












